肺朗格汉斯细胞组织细胞增多症(PLCH)是一组病因不明,以朗格汉斯细胞在一个或多个器官增生、浸润为特点的疾病。嗜酸性粒细胞肉芽肿和组织细胞增多症X是描述儿童PLCH的局灶性病变的旧称。Letterer-Siwe病、Hand-Schüller-Christian病和Hashimoto-Pritzker综合症都属于全身性的朗格汉斯细胞组织细胞增生综合症,好发于儿童。
PLCH可以单独出现或作为全身性疾病的一部分。在成人中,PLCH是最常见的原发性肺组织细胞病,最常见于肺,并且通常只累及肺。此病几乎完全发生于20-40岁的吸烟患者,通常认为发病机理与对香烟烟雾中抗原的异常免疫反应有关。儿童PLCH极为罕见,通常是全身性疾病的一部分,与吸烟无关。成人PLCH朗格汉斯细胞的浸润一般是反应性,但无肿瘤性,而儿童PLCH更具克隆性,易形成肿瘤。
高达1/4的PLCH患者无临床症状,有症状的患者临床表现为呼吸困难、无诱因咳嗽、乏力、发热、体重减轻、咯血、盗汗。肺功能检查可以是正常的、阻塞性、限制性或混合型肺气肿,这决于PLCH的持续时间和严重程度及是否合并肺气肿或大气道疾病。
病变肺组织切片HE染色显示浸润的朗格汉斯细胞具有典型复杂的核形态特征以及层叠或沟状的核膜。朗格汉斯细胞还具有特殊的五层包裹体(Birbeck颗粒)。免疫组织化学染色显示S-100、CD1a及angerin抗原阳性。
在早期的PLCH中,镜下可见以呼吸性细支气管为中心的间质性结节,这些结节由朗格汉斯细胞和嗜酸性粒细胞组成。早期病变结节越多,终末期越容易纤维化及囊变。囊性病变的形态特征是细支气管壁的炎症破坏及肺小叶小气道扩张;囊变内有时可见壁结节。在小儿PLCH中,组织学表现与成人相同,但出现弥漫性多系统疾病时,肺部病变细胞很少出现纤维化。对于成人,吸烟所致的肺气肿、肺泡腔内巨噬细胞大量聚集及呼吸性细支气管炎较常见。
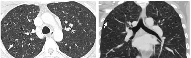
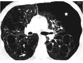
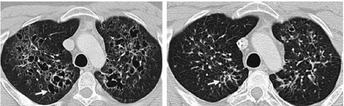
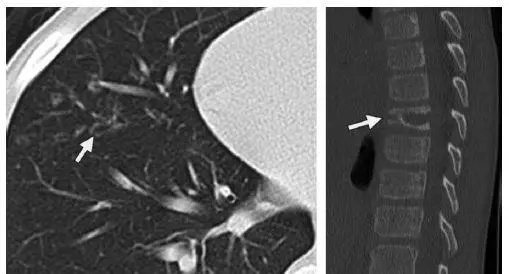
早期疾病薄层断层扫描(CT)可显示1–10mm的小叶中心结节或者空洞(图1)。随着病情的发展,囊性病变逐渐取代结节,表现为厚或薄壁囊腔,形态多不规则(图2)。结节和囊性病变通常累及双肺上中野,肺尖和肺底以及肋膈角常不受累。约25%的患者由于胸膜下囊腔破裂导致自发性气胸,累及双侧并且可以反复发作,这是本病的首发症状(图3)。终末期疾病的特点是肺过度充气以及广泛的囊腔,形成终末期肺气肿(图4)。薄层CT具有特征性人口统计学分布特点及临床表现,是PLCH临床诊断的重要依据,从而避免肺活检。在儿童中,薄层CT表现与成人相似,但更病变更广泛(图5),并且与未发现与吸烟有关的病灶。

图1 44岁女性PLCH患者。a 薄层CT显示边界不清的结节影,主要位于双肺上叶,这些结节是典型PLCH细胞浸润早期表现。部分结节中心部分是透亮的,提示将要囊变。b CT图像显示双肺底部未受累。c 组织病理学检查,显微镜下图像显示细胞核皱缩、折叠的朗格汉斯细胞和嗜酸性粒细胞。CD1a免疫组化染色显示成片朗格汉斯细胞被染成特征性的棕色。

图2 31岁男性PLCH患者。薄层CT横轴位(a)和冠状位(b)显示双肺上叶不规则状囊腔,囊壁厚度及囊的大小多变(箭头),双肺基底未受累。

图3 25岁男性PLCH患者。薄层CT横轴位显示双肺上叶大小不等的不规则囊变(箭头),左侧气胸(☆)

图4 28岁男性PLCH患者。薄层CT横轴位(a)显示形态各异的囊变,全身性朗格汉斯细胞增多症化疗后两年随访显示囊变减小(b)

图5 9岁男性LCH患者。轴位CT(a)显示右肺中叶(箭头)和舌叶(未显示)的囊腔和小叶中央结节。(b)胸椎矢状位CT显示中段胸椎椎体塌陷,由LCH引起
肺动脉高压比较常见,因此,呼吸困难的患者应行超声心动图检查。PLCH引起的肺动脉高压比其他慢性肺部疾病引起的肺动脉高压的患病率要高,严重程度高。PLCH患者肺动脉高压预后差,通常认为是肺小动脉受累的结果。一些肺内病变稳定的患者也会出现肺动脉高压进展。
PLCH的发病过程多变,不可预测,其表现可从无临床症状的几处病灶到进展性的全身乏力,呼吸衰竭,甚至死亡。治疗措施首先是戒烟。约一半的患者临床症状稳定,影像学表现无明显改变;不论是否戒烟,1/4的患者病情会自发缓解,而约1/4的患者戒烟后,病情仍会进展。疾病的不良预后与高龄、全身症状长时间持续、多器官受累、影像学上双肺广泛的囊变区、反复气胸、严重的弥散功能降低、治疗延迟以及肺动脉高压有关。
文献
Ahuja J, et al. Histiocytic disorders of the chest: imaging findings.Radiographics 2015;35:357-70.
[2]All These Chest X-Rays made us mad, No More Unjustified CT Scans... A Far Cry From Hamlet!.ECR.2016.
创造力是一种神奇的力量,它源自于我们内心深处的灵感之源,能够让我们发现无限可能。当我们探索创造力的世界时,我们能够拓展思维的边界,发掘独特的创意和解决问题的能力。现在,让我们一起踏上创造力的旅程,探索其中的无限可能性。灵感之源是创造力的源泉。它来自于我们对世界的观察、体验和情感的融合。当我们敏锐地观察周围的事物,感受内心的情感,灵感之源便会涌现出来。它可以是一幅绘画、一段音乐、一本书籍,或是日常生活中的一瞬间。灵感之源如同一泓清泉,滋润着我们的创造力。
意思是,指作品中吸引人的魅力点和魔力之处。这种魅力可能来自于作品的音乐旋律、歌词内容、演唱者的表演风格、或者是背后的故事情节等等。无论是何种因素,作品中的魅力所在都能够俘获听众的心灵,引发共鸣,并使其对作品产生深刻的印象。
值得一提的是,“建行生活”APP对平台上的商户永远不收费,除了为入驻商家提供收款、对账、退款、门店管理等一站式服务,依托建行的客源优势为商户引流之外,还提供“商户云贷”“收单云贷”等信用类贷款支持,帮助企业发展,为商户经营成长添加助力。在真正意义上为广大中小微企业减压,切实为解决商家困局、推动共同富裕作出贡献。
亲,您好,很高兴为您解答!1430是什么意思。答案如下:意思是一世想你。“1430的爱情含义是什么?1430的爱情含义是一世想你的意思,这组数字是对自己喜欢的人表白心意。”1.两人彼此的相知。要了解对方真正是谁,才能开始有真正的爱情关系。2.开始对对方产生信任感 (trust)。3.互相支持的健康的人,必须懂得独立(independent),也必须懂得依靠(dependent),在这二者之间,可以有弹性的调整。4.彼此的委身。委身的承诺就是要确定,这是两人要同走的路,两人愿意一辈子生活在一起。
今天参加了一个朋友的婚礼,感触颇深,想到了前几日在网上看的文章里写的“合卺之欢”,它的意思是古代人结婚喝交杯酒的喜悦,以及由此带来的夫妻之乐。《说文解字·己部》中对“卺”字的解释是:“卺,谨身有所承也”,意思是卺是一种表示谨慎自守、有所承担的器物。引用《礼记·昏义》中的一句话:“妇至,婿揖妇而入,共牢而食,合卺而酳,所以合体同尊卑以亲之也。”意思是新娘到了新郎家,新郎迎接新娘进门,一起吃牢饭(即祭祀祖先后的饭),用一个匏瓜剖成两个瓢共饮酒,这是表示夫妻合为一体、相互尊重爱护的仪式。
最近在看一档综艺节目的时候发现了一个梗,一个“玛卡巴卡”的梗,相信很多人都不知道玛卡巴卡的意思吧。据说玛卡巴卡是英国学龄前儿童电视节目《花园宝宝》中的角色,下面我们来具体的看看玛卡巴卡的意思吧。当一个男生叫一个女生玛卡巴卡的时候,就是将这个卡通呆萌可爱带入到了女生的身上,是一种充满爱意和喜欢的情绪,说白了就是这个男生是喜欢你的,如果你也喜欢对方,那不妨主动一下,让对方知道你对他也是有意思的,这样对方才会大胆的跟你表白。
Prada已经从一个小型的家族事业发展成为世界顶级的奢华品牌。普拉达眼镜以其独特的设计结合了功能性与优雅的气质,完美地衬托出女性的气质。一、普拉达Prada 普拉达 VPR09S 女士 眼镜框 1AB-101亮黑 来自意大利知名的奢侈品牌范思哲(Versace)创造了一个时尚帝国,代表着一个品牌家族,范思哲的时尚产品渗透了生活的每个领域,范思哲眼镜鲜明的设计风格,独特的美感,极强的先锋艺术表征让它风靡全球。它的设计风格鲜明,是独特的美感极强的先锋艺术的象征。其中最魅力独具的是那些展示充满文艺复兴时期特色的
词性变化 ◎ 雅 yǎ 〈副〉 素常;向来 予雅道冠,拄杖二癖,每自笑叹。——宋· 陆游《老学庵笔记》 安帝雅闻衡善术学。——《后汉书·张衡传》 又如:雅... 又如:雅好;雅志;雅尚;子所雅;善雅鼓琴 表示程度很甚,相当于“很”、“极” 帝雅重瑞名。——《明史》 又如:雅重... ——《后汉书·张衡传》 又如:雅好;雅志;雅尚;子所雅;善雅鼓琴 表示程度很甚,相当于“很”、“极” 帝雅重瑞名...
是的,以上就是火遍社交平台,恋爱脑你的三年我心疼,你的文字还爱他,网抑云堵上不堵一切的命,也追不回想走的人。可不爱你的人只会说:快点,再快一点。上了不知是他干爹还是他表哥的车。我说:我赌上命,只追,不松油门。上学的时候,都有过白月光,也出现过朱砂痣。就好像在我18岁的年纪,看上了一款38万的车。23岁的年纪,我又看上了一款43万的车。
1032爱情意思网络用语“与你相爱”数字1032的汉字拼音谐音很明显就是“与你相爱”,表达了要与你这个最心爱的情人一起相亲和相爱,然后两个人一直恩恩爱爱,甜甜蜜蜜,开开心心,美美满满,幸幸福福,团团圆圆的一起牵手走下去!其实1032是个谐音爱情数字密码...
三个字:729去喝酒、756辛苦了、721亲爱的、456是我啦、546我输了、356上网了、510我依你(我已来)、765去跳舞、360想念你、809保龄球、520我爱你、530我想你、740气死你、886拜拜了、078你去吧、501我愿意、987对不起、095你找我、234爱相随、246笨死了、537我生气、918加油吧、065原谅我、098你走吧、147一世情、200爱你哦、282饿不饿、230爱上你、300想你哦、310先依你、440谢谢你、514无意思、555呜呜呜、587我抱歉、706...
1417数字爱情代表的意思是:一世(在)一起。1——代表唯一的爱情 ;2——代表两人世界;3——代表分散,双方随分隔两地,但思念永不改变 ;4——代表无尽的思念;5——是我的意思,也可以理解为不分你我; 6——代表顺利,代表喜剧式的爱情双方的爱情将一帆风顺,幸福过一生 ;7——代表凄美,代表爱情注定经历坎坷,或许中间有很痛苦的事,但双方要用爱来度过 ;8——是可以看成两个0靠在一起,是最浪漫的一个,指标是两个人肩靠肩的样子 ;9——代表永久,爱你一生一世直到永久的意思 ;10——代表十全十美,完美的爱情。
最近,网上有一个视频,是一个男生在大庭广众之下,拿着一束花向女生表白。结果女生的表情很不好,对男生说下一次吧,男生也恼了。今天就跟大家聊聊,道德绑架式表白什么意思?这种所谓的“道德绑架式表白”,其实就是指的在大庭广众之下表白,也许女生根本就不愿意,却要被周围围观的群众逼着答应。之前我就遇到过一个类似的事情,男生在公共场合表白,女生给拒绝了,于是男生就恼羞成怒对女孩横加指责:“你不就是嫌弃我穷吗?”“我有什么不好,你为什么不喜欢我,没想到你那么势力”。
2018年7月27日,国家药品监督管理局发布《关于调整药物临床试验审评审批程序的公告》,明确:对于药物临床试验期间出现的可疑且非预期严重不良反应和毒理研究提示重大安全性风险信号,申请人应按照《药物临床试验期间安全性数据快速报告标准和程序》中相关要求向药审中心递交安全性报告。2020年3月30日发布的《药品注册管理办法》中固化该要求,第三章第二十八条明确规定,对于药物临床试验期间出现的可疑且非预期严重不良反应和其他潜在的严重安全性风险信息,申办者应当按照相关要求及时向药品审评中心报告。
lv白三彩经典款大方的设计,营造浪漫的气氛,凸显女性优雅知性气质,所以好意思用的。LV一般指路易威登。路易威登(LouisVuitton),法国奢侈品品牌,隶属于酩悦·轩尼诗-路易·威登集团,经营产品包括手提包,旅行用品,小型皮具,配饰,鞋履,成衣,腕表,高级珠宝及个性化订制服务等。
很多人每天脑子不停,晚上有时候失眠,出现瞎琢磨。胡思乱想。这里的胡思乱想就是无效思维,但是他还非常占用大脑内存。同样的消耗大脑资源。瞎琢磨的意思是汉语词语,拼音是xiā zuó mo,意思是胡乱揣测。大脑中一团乱麻,剪不断理还乱。无奈纠缠,身心疲惫。要想改变这样的思维模式,就要首先了解有效思考有哪些因素。